Boyun Ağrısı: Manuel Terapi Mi? Ağrı Kesici Mi? GİRİŞ Boyun ağrısı, dünya genelinde en yaygın ağrı nedenlerinden biridir. Boyun ağrısının tedavisinde manuel terapi (MT) ve ağızdan alınan ağrı kesici ilaçlar sıkça kullanılmaktadır. Ancak ilaçlar riskler taşıyabilir, her zaman iyi tolere edilmeyebilir ve boyun ağrısındaki [...]
Omzumdan ses geliyor, kütlüyor, çıtlıyor: Omuzdan gelen seslerin önemi Omuz ağrısı yaşayan hastalar genellikle omuzlarının çıtlama ve kütleme sesi çıkardığından şikayet ederler, ancak bu mekanik semptomların klinik önemi belirsizdir. Bu seslerin, omuz ekleminde yapısal bir hasar riski taşıdığı düşünülse de, bu teoriyi [...]
Boyun Düzleşmesi Nedir ve Neden Olur? Servikal Lordoz Nedir? Servikal lordoz, karmaşık gibi görünen bir terim olsa da, aslında omurga sağlığınızın temel bir unsuru. Boynunuzdaki bu doğal eğri, başınızı nasıl taşıdığınız, duruşunuzu nasıl koruduğunuz ve günlük aktivitelerinizi nasıl gerçekleştirdiğiniz üzerinde önemli [...]
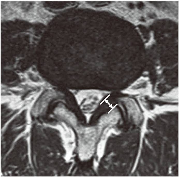
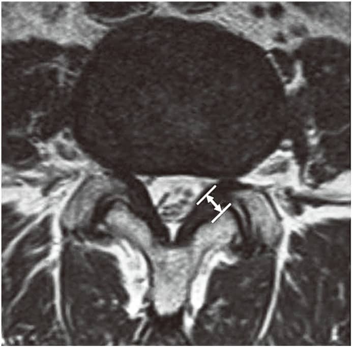
Ligamentum Flavum Kalınlaşması Nedir? Cerrahi Olmayan Tedavi Seçenekleri Bu makale, ligamentum flavum hipertrofisinin tanımı, nedenleri, belirtileri ve en iyi cerrahi olmayan seçenekler hakkında derinlemesine bilgi sunmaktadır. Fizyoterapi yöntemleri, ligamentum flavum hipertrofisini azaltabilir. Ligamentum Flavum Hipertrofisi Tanımlandı [...]
Egzersiz Kaynaklı Sıkışma Sendromu Kronik egzersiz kaynaklı kompartman sendromu (KEKS), genellikle alt ekstremiteyi, özellikle bacağın ön kompartmanını etkileyen ağrılı bir durumdur. Egzersiz sırasında anormal şekilde artan intramusküler basıncın geri dönüşümlü bir formu olarak tanımlanır. Bu durum, nispeten uyumsuz bir fasyada, [...]
BOYUN AĞRISI VE WHİPLASH YARALANMALARI Boyun ağrısı, global çapta en büyük engellilik nedenlerinden biridir ve sağlık hizmetleri maliyetleri ile gelir ve işgücü kaybına yüksek neden olur (1). Boyun ağrısının tedavisi için mevcut klinik sonuçlar, mütevazı etkiler göstermekte olup, öz bakım ve egzersiz hakkında eğitim içermektedir [...]
SUBAKROMİAL AĞRI SENDROMU Subakromiyal ağrı sendromu (SAS), omuzda subakromiyal bölgede aşırı kullanım sonucu oluşan ağrı ve hareket kısıtlılığı ile karakterize bir durumdur. Bu sendrom, omuzdaki tendonların, özellikle rotator manşet tendonlarının, omuz kemiğinin altındaki subakromiyal bölgede sıkışması sonucu ortaya [...]
Egzersizlerin Gerçekten Doğru Formu Var Mı? Bir egzersizin doğru formu, hedeflenen kas grubunu en etkili şekilde çalıştırırken sakatlanma riskini en aza indirgemektir. Bununla birlikte, şehir efsanelerinin aksine, evrensel bir form standardı bulunmamaktadır. Örneğin, “dizler parmak ucunu geçmeyecek” veya “dirseğin [...]
Boyun Fıtığı Belirtileri Nelerdir? Boyun fıtığı, tıbbi adıyla servikal disk herniasyonu, boyun bölgesindeki omurlar arasında bulunan disklerin zedelenmesiyle ortaya çıkan bir durumdur. Bu diskler, omurlar arasında yastıkçık görevi görür ve omurganın esnekliğini sağlar. Diskin dış bölgesindeki yırtılma sonucu iç kısımdaki [...]
Bel Ağrısı Nasıl Geçer? Bel ağrısı, dünya genelinde insanların en sık karşılaştığı sağlık sorunlarından biridir ve pek çok kişinin günlük aktivitelerini kısıtlamaktadır. Yapılan araştırmalar, manuel terapi ve düzenli egzersizin bel ağrısının yönetilmesinde etkili olduğunu göstermektedir. Bu blog yazısında, bel ağrısını [...]
